Dr Baptiste PERSONNE
Docteur en chirurgie dentaire
Activité limitée à l'orthodontie
Traitement d'interception
Pour certaines malocclusions importantes, il peut être utile de débuter un traitement avant l'adolescence. Le but est de prévenir une inutile aggravation du problème de votre enfant.
​
Les indications principales sont :
-mâchoire supérieure trop petite avec risque de retard ou de blocage de l'éruption de certaines dents définitives (notamment les canines)
-morsure palatine (les incisives inférieures blessent la muqueuse palatine et risque de déchausser les incisives supérieures)
-difficulté d’incision et de mastication, ou risque de fracture des incisives supérieures, quand elles sont trop avancées
-inversé d'articulé à l'avant de la bouche ou sur les côtés, ce qui entraine des décalages osseux plus difficiles à rétablir plus tard
​
L’amélioration précoce des équilibres dentaire, squelettique et fonctionnel permet d’espérer une poursuite plus harmonieuse de sa croissance.
Des appareils fixes (comme le Quad-Helix ou le disjoncteur palatin), ou amovibles (plaques palatines amovibles, aligneurs transparents) peuvent être utilisés sur une durée de 12 à 18 mois.
Les traitements interceptifs avec les aligneurs transparents (Invisalign First®) permettent de corriger les troubles dans la dimension transversale, antéro-postérieure et verticale et ce avec un même appareillage. De plus, l’hygiène est grandement améliorée, les urgences absentes et l’alimentation de l’enfant n’est pas perturbée.
​




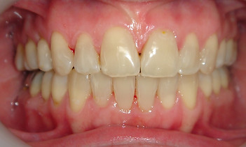
_edited.jpg)
Traitement d'interception par Invisalign First® réalisé au cabinet


Disjoncteur palatin classique : pendant 2 mois environ, les parents effectuent un tour de clé quotidiennement au niveau du vérin central de l'appareil afin. Une amélioration spontanée de la ventilation nasale est souvent observée


Invisalign palatal expander®: l'équivalent moderne et sur-mesure du disjoncteur palatin, en version amovible, avec un nouvel appareil en plastique imprimé à changer tous les jours jusqu'à l'obtention de l'expansion squelettique du maxillaire supérieur désirée

​
​
La rééducation fonctionnelle est une phase importante du traitement d’orthodontie. Nous utilisons des gouttières d'éducation fonctionnelle portées 2h/jour et la nuit, associées à la réalisation d'exercices quotidiens.
​
Les fonctions principales que nous rééduquons en orthodontie sont :
-
La ventilation
-
La posture linguale
-
La déglutition
-
La mastication
-
Les habitudes nocives
​
Traitement fonctionnel
Une fois terminée la phase de modifications morphologiques par appareillage, il est important de rééduquer les dysfonctions de l'enfant. En effet, elles sont bien souvent à l'origine des anomalies rencontrées et donc peuvent être la cause de récidives des dysmorphoses, à plus ou moins long terme.
Les traitements en orthodontie fonctionnelle ne visent pas seulement à aligner les dents mais à créer, grâce à la rééducation des fonctions, les conditions permettant la stabilité du résultat sur le long terme.
Respirer par le nez, avoir la langue en position haute et les lèvres fermées, c’est l’assurance d’un corps bien ventilé et d’un environnement dentaire bien équilibré. C’est aussi le début du bien-être dans le quotidien de votre enfant : sommeil réparateur, meilleures capacités de concentration ...


Traitement par gouttière d'éducation fonctionnelle uniquement, réalisé au cabinet
Traitements multi-attaches
Le "multibagues" se compose de différents éléments :des attaches collées, un arc en métal, et des ligatures élastomériques pour maintenir l’arc. La superélasticité et la mémoire de forme des alliages utilisés permettent l'alignement rapide, sécuritaire et quasi-indolore des arcades dentaires. Des ligatures de couleur peuvent être choisies.
​
Les attaches sont collées sur les arcades dentaires. C’est un appareillage fragile qui demande toute votre attention et vos soins afin de ne pas décoller ou abimer tout ou partie de l'appareil, ce qui pourrait compromettre son efficacité.
Des élastiques peuvent être ajoutés. Ils sont alors indispensables pour obtenir un bon résultat. L’orthodontiste vous expliquera où, comment et quand les mettre. Il est obligatoire de respecter ces consignes.






Traitement adolescent réalisé au cabinet
Des attaches en céramique, plus discrètes, peuvent également être utilisées

Il peut être nécessaire de recourir à des dispositifs particuliers avant la mise en place des brackets, notamment pour corriger les décalages antéro-postérieurs squelettiques ou dentaires. Le cabinet utilise des dispositifs tels que le Carrier motion® ou le multi FA®.
Le patient porte pendant environ 6 mois le dispositif collé sur les secteurs latéraux de la mâchoire supérieure. Des attaches sont collées sur les molaires de la mâchoire inférieure.
Un élastique relie le dispositif de la canine à la molaire inférieure.
Une gouttière de stabilisation est utilisée sur la mâchoire inférieure pour solidariser toutes les dents.
Les élastiques et la gouttières doivent être portés 22h/24.
​
Une fois le décalage avant-arrière corrigé, le multibagues est mis en place.



Première phase de traitement réalisé au cabinet par multi FA ( classe II): les incisives maxillaires sont reculées dans un second temps
Les aligneurs transparents
Initialement destinés aux adultes, les aligneurs ont révolutionné le monde de l'orthodontie. Ils permettent de traiter aujourd'hui un grand nombre de patients et toutes dysmorphoses et constituent sont une alternative aux bagues et aux appareils orthodontiques traditionnels.
​
En plus de ses avantages en terme d’esthétique et de confort, ce traitement avec aligneurs offre plusieurs avantages :
-
Traitement prévisible : le traitement est planifié informatiquement à l’avance, il est possible de prévoir avec plus de précision la date de fin de traitement
-
Santé bucco-dentaire améliorée grâce à une hygiène dentaire plus simple
-
Pas de risque allergiques dus aux métaux des bagues et des fils
-
Fabrication sur mesure permettant une adaptation parfaite, éliminant l’irritation et les écorchures et donc limitant le nombre d’urgences pendant le traitement
-
Possibilité de manger et boire sans ses aligneurs, donc alimentation facile et sans restriction


Traitements adultes réalisés au cabinet par aligneurs Invisalign®


Une fois les empreintes optiques réalisées, il est possible de visualiser la simulation des déplacements prévus ce qui est un gage de motivation en début de traitement. L'informatisation du processus améliore considérablement la précision des mouvements orthodontiques.
​
Vous portez chaque aligneur pendant 2 semaines, à raison de 20h par jour environ, avant de passer au suivant dans la série. Des rendez-vous de contrôle sont planifiés tous les 2 à 3 mois au cabinet afin de vérifier le bon déroulé du traitement et de réaliser les actes nécessaires (collage de taquets, adaptation de la rétention, polissage inter-dentaire, mise en place d'élastiques etc ...)
​


Les aligneurs transparents
Initialement destinés aux adultes, les aligneurs ont révolutionné le monde de l'orthodontie. Ils permettent de traiter aujourd'hui un grand nombre de patients et toutes dysmorphoses et constituent sont une alternative aux bagues et aux appareils orthodontiques traditionnels.
​
En plus de ses avantages en terme d’esthétique et de confort, ce traitement avec aligneurs offre plusieurs avantages :
-
Traitement prévisible : le traitement est planifié informatiquement à l’avance, il est possible de prévoir avec plus de précision la date de fin de traitement
-
Santé bucco-dentaire améliorée grâce à une hygiène dentaire plus simple
-
Pas de risque allergiques dus aux métaux des bagues et des fils
-
Fabrication sur mesure permettant une adaptation parfaite, éliminant l’irritation et les écorchures et donc limitant le nombre d’urgences pendant le traitement
-
Possibilité de manger et boire sans ses aligneurs, donc alimentation facile et sans restriction


Traitements adultes réalisés au cabinet par aligneurs Invisalign®


Une fois les empreintes optiques réalisées, il est possible de visualiser la simulation des déplacements prévus ce qui est un gage de motivation en début de traitement. L'informatisation du processus améliore considérablement la précision des mouvements orthodontiques.
​
Vous portez chaque aligneur pendant 2 semaines, à raison de 20h par jour environ, avant de passer au suivant dans la série. Des rendez-vous de contrôle sont planifiés tous les 2 à 3 mois au cabinet afin de vérifier le bon déroulé du traitement et de réaliser les actes nécessaires (collage de taquets, adaptation de la rétention, polissage inter-dentaire, mise en place d'élastiques etc ...)
​


La Contention
​
Une fois l’appareil orthodontique actif déposé, il est nécessaire de maintenir les résultats acquis par un appareil de contention sous peine de récidive de l’anomalie initiale.
Cet appareil de contention peut être fixe ( fil collé sur la face interne des dents) ou amovible (gouttière à port nocturne).
Précautions à prendre :
-Bien brosser le fil afin de limiter les dépôts de tartre
-Réaliser un suivi régulier par le dentiste et l’orthodontiste
​
Le fil collé n’empêche pas l’hygiène habituelle, et il est compatible avec la réalisation de détartrage par votre dentiste.
Une certaine gêne au niveau de la langue peut être ressentie pendant les premiers jours




